Story
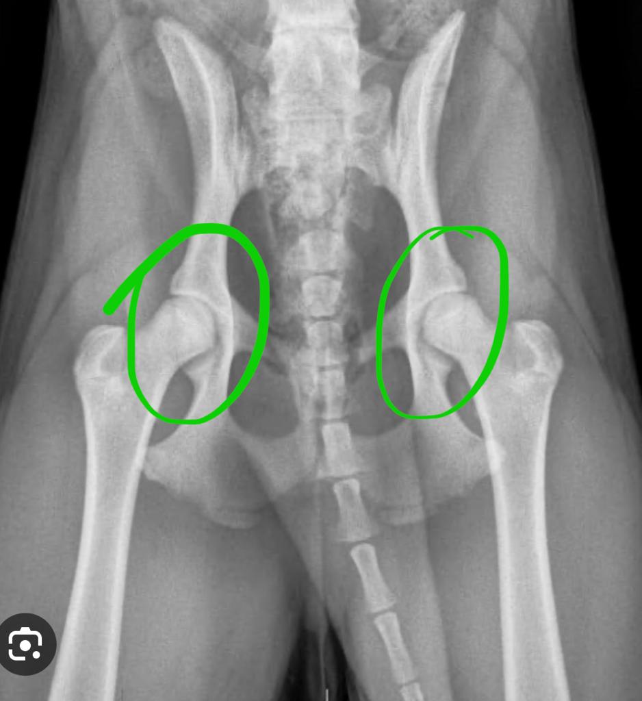
On 12th June 2023, our 9 month puppy was diagnosed with hip dysplasia so severe that his hips are essentially dislocated. To live a normal and pain free life, he'll need two full hip replacements which cost around £7000 each. Without these, we've been advised that his life expectancy will be cut short and his quality of life severely affected, with him likely to develop painful arthritis and even become immobile.
He is the most lovely boy with such a gentle soul. It absolutely breaks our hearts that euthanasia has even been mentioned and we just simply will not let that happen to our gorgeous boy, who is sadly suffering in silence!

Harry and I have decided that to help Jude get up and running, and hopefully to encourage as many people to get involved and donate, we're going to run for a full 24 hours around Spiceball Park in Banbury.
We would love for as many of you to join us on Saturday 5th August 2023, whether it be for 20 minutes, an hour, or to simply sit in the park and cheer us on. We've created a sign up sheet for each hour that we'll be running for and I'm hoping that each slot will be filled to keep us putting one foot in front of the other. We will 100% tailor each hour to whoever is running with us, so please don't feel like this isn't accessible to you!
SIGN UP HERE TO TAKE PART IN A LEG OF HARRY & TAOME'S 24 HOUR RUN (please)
We would love to see you there at 10am onwards to support us in raising money for Jude's cause. Let's get this boy back on his feet!
We appreciate you visiting our page and will be hugely grateful for any contribution.
Love Taome, Harry & Jude xxx
NORMAL DOG HIPS:

JUDE'S HIPS:
